Join Us
Login
Home
About Us
About US
History of BISI
Society
Council
BISI Memorandum
BISI Memorandum Annexure Dec 2022
Membership
Membership Form
Member Directory
Education
Teaching Cases
2026
2023
2022
2021
2020
2019
2017
2016
Submit a Case
Fellowship
Dr Kakarla Subba Rao Travel Fellowship Grant
FNB Fellowships
Other Institute Fellowships
Certification Exam
Guidelines
Best Practice
Introduction
Algorithm for Breast Imaging
Mammography
Breast Ultrasound
Breast MRI
Image Guided Breast Biopsy
Quality Assurance
Introduction Guidelines
USG guidelines
MRI Guidelines
MAMMO Guidelines
Events
BISI Endorsement
Upcoming Events
Social Events
BISICON
MID TERM CME
Society Endorsed Events
Newsletter
2019
2020
2022
2023
Ijbi
Public
Breast Self Examination
Breast Cancer Awareness
Mammography
Breast Ultrasound
MRI Breast
Breast Biopsy
Dense Breast
Contact
Teaching Case 2022
Don't let breast cancer steal the second base
Home
Teaching Cases
Teaching Case 2022
December 2022
A 46 year old male patient presented with history of gradual onset bil...
Read More
November 2022
30years old female presented with complaints of dragging sensation and...
Read More
October 2022
36 year old female comes with history of left breast lump. She is eval...
Read More
September 2022
40 year old lady came for annual health check screening...
Read More
August 2022
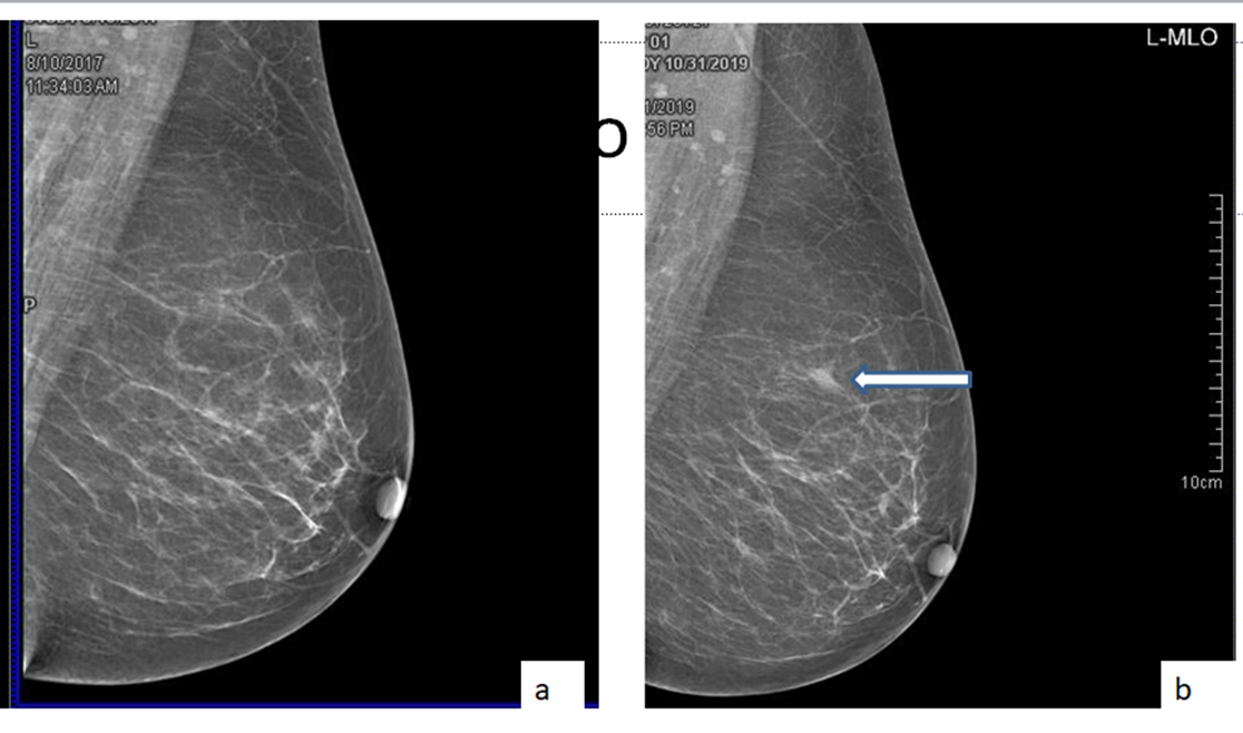
A postmenopausal woman who has previously been treated for contralater...
Read More
July 2022
A 55 years old female came for screening mammogram....
Read More
June 2022
36 years old female with a history of lump left breast for 3 months wi...
Read More
May 2022
20 year old presented to the gastroenterology department with complain...
Read More
April 2022
A 45 year old female presented to our hospital OPD with following comp...
Read More
March 2022
A 33-year-old lady presented with a painless palpable lump in left bre...
Read More
February 2022
A 75-year-old gentleman presented with a palpable lump in the left bre...
Read More
January 2022
A 34-year-old woman presenting with a painless palpable right breast l...
Read More
Join us to get regular opportunities to update your knowledge and skills in breast imaging
Apply Now