Contributed By:

Dr. Surabhi Vyas
AIIMS, ansari nagar new delhi

Case History:

37 years old lady with progressively enlarging left breast mass for the last one year On examination- Slightly tender to touch, with shiny stretched skin. No significant family history

Quiz Question:

What is the imaging diagnosis

Answer
phyllodes tumour, left breast

Discussion
Phyllodes tumour is a fibroepithelial tumour affecting young to middle aged women; age group 35- 50 years. WHO classification categorises these tumours as benign, borderline and malignant based on the degree of stromal cellular atypia, mitotic activity per 10 high power fields, degree of stromal overgrowth, tumour necrosis, and margin appearance. Clinical features: it presents as large or progressively enlarging, well defined mass. Other clinical features include shiny stretched skin and dilated superficial vascular channels. Skin necrosis, fixity to skin and underlying pectorals muscle and lymphadenopathy are suggestive of malignant Phyllodes tumour. Imaging Mammography- dense, round to oval circumscribed mass. Calcification is uncommon Ultrasonography- Shows additional cystic spaces which are commonly seen. Malignant variety may show indistinct margins and heterogeneous appearance. MRI- the tumour shows low signal on T1W images. The slit like fluid clefts/ cystic spaces shows bright T2 signal. On post contrast images the tumour shows heterogeneous enhancement with variable kinetic curve. Differential diagnosis: Fibroadenoma, which may show coarse calcifications, and no fluid clefts. Primary sarcomas of breast may appear similar on imaging, however they show heterogeneous signal intensity and enhancement characteristics on MRI. Treatment Treatment is surgical excision with wide margin. Simple mastectomy may be required for large tumours as in the described case. There is no definitive role of chemotherapy.
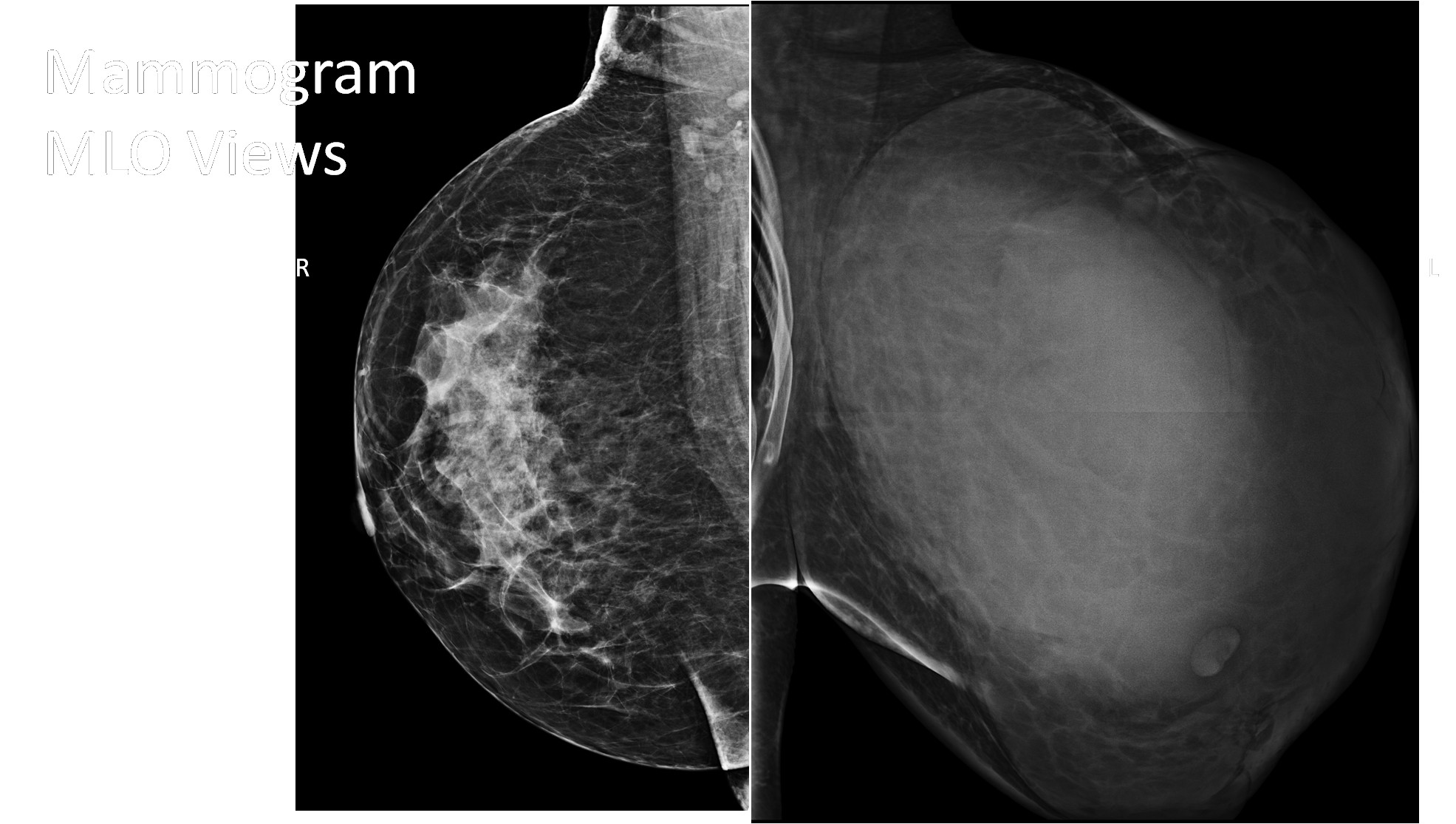
Findings
The left breast is enlarged and shows a large circumscribed mass of density similar to the fibroglandular parenchyma, occupying nearly entire left breast. There are no calcifications associated with the mass, however there is mild trabecular thickening and nipple retraction. The left breast mass is circumscribed , round to oval, mildly hypoechoic in appearance and shows multiple irregular fluid clefts (arrow). Excision specimen histology: Spindle cell tumour with infiltrative borders, increased stromal cellularity and moderate nuclear atypia. Areas of necrosis present. Mitotic count 5/10 HPF - Overall features are those of borderline phyllodes tumour
References
Phyllodes tumors of the breast. Chao TC. Lo YF. Chen SC. Chen MF. European Radiology. 13(1):88-93, 2003 Jan. Sonographic features of phyllodes tumors of the breast. Chao TC. Lo YF. Chen SC. Chen MF. Ultrasound in Obstetrics & Gynecology. 20(1):64-71, 2002 Jul. Tan H, Zhang S, Liu H, et al. Imaging findings in phyllodes tumors of the breast. Eur J Radiol. 2012;81(1):e62-e69. Phyllodes Tumor of Breast: A Review Article. Mishra AP, Tiwary SK, Mishra M, Khanna AK. ISRN Surg. 2013; 2013: 361469.

Join us to get regular opportunities to update your knowledge and skills in breast imaging