Contributed By:

Dr.INDRANI HAZRA
Esic Pgi Msr + Esic Medical College Hosp Joka

Case History:

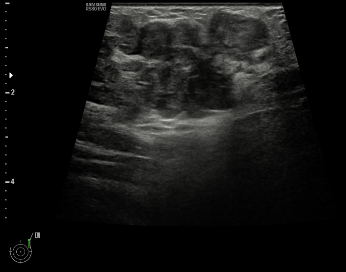
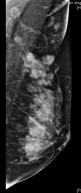
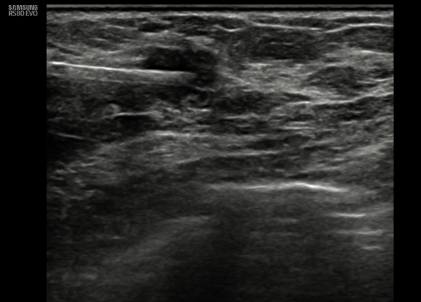
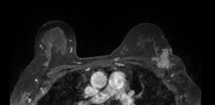
36 year old female comes with history of left breast lump. She is evaluated outside for same and HPR is papillary lesion. She comes to our hospital, we repeat her mammogram and USG, which is suggestive of a high density large mass with lobular margin in upper outer quadrant of left breast. As out side HPR is discordant with imaging finding, we repeat her biopsy and MRI. Repeat biopsy is suggestive of again papillary lesion. And MRI is suggestive of invasion of chest wall muscle. What do we do now?

Quiz Question:

Do we insist on Rad- Path concordance even after two negative biopsy?

Answer
We suggested for excision biopsy with good margin as lesion lesion showed features of invasion on imaging. It was discordant with pathological findings. Patient underwent excision biopsy with axillary sampling.

Discussion
Adenomyoepithelioma is a primary breast neoplasm of rare entity caused by proliferation of both epithelial and myoepithelial components, Benign to low grade malignant behavior and has a propensity for recurrence. Either epithelial or myoepithelial component can show malignant transformation so thorough evaluation recommended*. Overlap of histopathological features usually lead to misinterpretation as invasive carcinoma or intraductal papilloma or sclerosing adenosis. Complete wide excision with negative margins is standard treatment to prevent local recurrence. It is difficult to diagnose this on imaging alone, however familiarity with this rare entity to radiologist is essential to raise possibility.
Findings
Final histopathology was suggestive of Adenomyoepithelioma (AME). (Few foci of atypia were seen, however there was no malignancy)
References
*D. C. Howlett, C. H. Mason, S. Biswas, P. D. Sangle, G. Rubin, and S. M. Allan. Adenomyoepithelioma of the Breast: Spectrum of Disease with Associated Imaging and Pathology. American Journal of Roentgenology 2003 180:3, 799-803

Join us to get regular opportunities to update your knowledge and skills in breast imaging