Contributed By:

DR. MEGHA GUMTE
radilogy department\r\ndr hedgewar hospital

Case History:

A 55 years old female came for screening mammogram.

Quiz Question:

(1) What is the role of CEMRI breast in patients with heterogeneously dense breast parenchyma on mammogram? (2) Are all hyperechoic masses always benign?

Answer
(1) CEMRI aids in the detection of multifocal and multicentric lesions and in evaluation of the contralateral breast, especially in mammographically dense breast. (2) A small percentage of breast cancers may present as hyperechoic lesions on ultrasound.

Discussion
Most of the breast malignancies have hypoechoic appearance on ultrasound. Although extremely rare, hyperechoic breast malignancies do exist (1). Differential diagnoses for malignant hyperechoic lesions include invasive lobular carcinoma and invasive ductal carcinoma, DCIS, metastasis, lymphoma, and sarcoma (2). Echogenic breast lesions should be carefully evaluated and properly categorized based on suspicious sonographic characteristics and must be correlated with mammographic findings and clinical history to lower the threshold for biopsy and avoid delay in diagnosis. A comprehensive ultrasound scan should be performed with a careful search for the presence of suspicious sonographic features such as non-parallel orientation, posterior shadowing, and irregular margins (3). Hyperechogenicty should not be considered as a characteristically benign feature and should not supersede the less specifically benign features of the same lesion on the other examination.
Findings
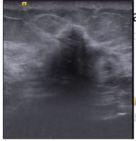
Figure 1- MLO (a) and CC (b) screening mammogram of the right breast with heterogeneous dense breast parenchyma shows a heterogeneous dense spiculate mass in lower inner quadrant (better seen on CC views; white arrow in figure 1b ). Figure 2 : Ultrasound shows a hypoechoic mass with spiculate margins, non parallel orientation and posterior acoustic shadowing. Figure 3: CEMRI reveals an irregular heterogeneous enhancing mass in lower inner quadrant (white arrow in figure 3a, c) and an additional small irregular heterogeneous enhancing mass in the upper inner quadrant (red arrow in image 3a, c) . Figure 4: Second look ultrasound revealed a hyperechoic mass with mild heterogeneity and indistinct margins which was not clearly appreciated with normal compression (figure 4a) and is better appreciated with excessive focal compression (figure 4b) . USG guided biopsy is performed as the mass was suspicious on CEMRI. Final histopathology for the second lesion - IDC
References
1. Linda A, Zuiani C, Lorenzon M, et al. Hyperechoic lesions of the breast: not always benign. Am J Roentgenology 2011;196:1219–1224. 2. Hyperechoic Lesions of the Breast: Radiologic-Histopathologic Correlation, Beatriz Adrada, Yun Wu, and Wei Yang. American Journal of Roentgenology 2013 200:5, W518-W530. 3. Tiang, S., Metcalf, C., Dissanayake, D. and Wylie, E. (2016), Malignant hyperechoic breast lesions at ultrasound: A pictorial essay. J Med Imaging Radiat Oncol, 60: 506-513. https://doi.org/10.1111/1754-9485.12468.

Join us to get regular opportunities to update your knowledge and skills in breast imaging