Contributed By:

Dr.UJWALA ASHUTOSH JADHAV
Nidan Sonography Clinic, Swami Samarth plaza , Vaduj ,Tal Khatav Dist satara

Case History:

20 year old presented to the gastroenterology department with complaints of passing blood and mucus in stools for 6 months .She was on different antibiotics with no major relief of symptoms. She also complained of having a right breast painless but firm mass lesion gradually increasing in dimensions for about an year . Apart from the baseline routine blood investigations she underwent a colonoscopy and a ultrasound breast . Her father was on treatment for a chronic colonic condition. Based on her colonoscopy images what is the diagnosis ?

Quiz Question:

Diagnosis

Answer
Familial Adenomatous Polyposis

Discussion
Discussion Familial polyposis coli, attenuated familial adenomatous polyposis and Gardner syndrome are all variants of the same disease and FAPS is used to described the entire spectrum. Familial adenomatous polyposis syndrome affects 1 in 10,000 births . The average age of presentation is 16 years. Typical symptoms and signs include rectal bleeding, diarrhea, abdominal pain, anemia, and/or mucosal discharge . Polyps usually develop around puberty  Familial adenomatous polyposis syndrome is characterized by the presence of hundreds or thousands of colonic adenomatous polyps, usually tubular or tubulovillous. The rectum is occasionally spared. Less commonly they affect the small bowel and stomach.This condition is associated with colorectal carcinoma,hepatoblastoma , extracolonic polyps in the stomach and duodenum, desmoid tumors osteomas , dental anomalies ,congenital hypertrophy of the retinal pigment epithelium and papillary thyroid carcinoma. Desmoid tumours associated with syndromes have been shown to have an alteration of the ?-catenin pathway and over express ?-catenin. Fibromatoses associated with polyposis are usually noted in the colectomy scar, lesions may also be encountered in the small bowel mesentery, as dense intraabdominal adhesions, and very rarely in extra-abdominal sites like the breast as was seen in our patient Desmoid tumour of the breast may present a difficulty in diagnosis especially where imaging studies are not conclusive and when they present as spiculated or irregular masses in older women mimicking malignancy . A biopsy is always indicated as the definitive method to determine nature of the tumour. The histopathologic differential diagnosis can vary from benign reactive lesions such as a hyperproliferative scar, to a more sinister fibrosarcoma. A recurrence rate ranging from 21 to 57% has been noted with surgical treatment alone. Margin status, large tumour size and young age have been associated with a higher incidence of recurrence . As breast fibromatosis do not demonstrate metastatic capabilities, axillary dissection is not performed. A routine quarterly clinical examination is advised for a minimum of three years as the majority of local recurrences manifest within this time frame .Management of these lesions is complex, the main problem being the high rates of recurrence. Wide surgical resection with clear margins is the most widely practiced technique with radiation, chemotherapy, or hormonal therapy being used to reduce recurrence rate.
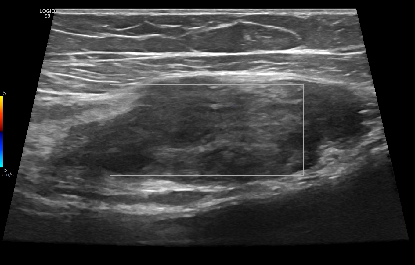
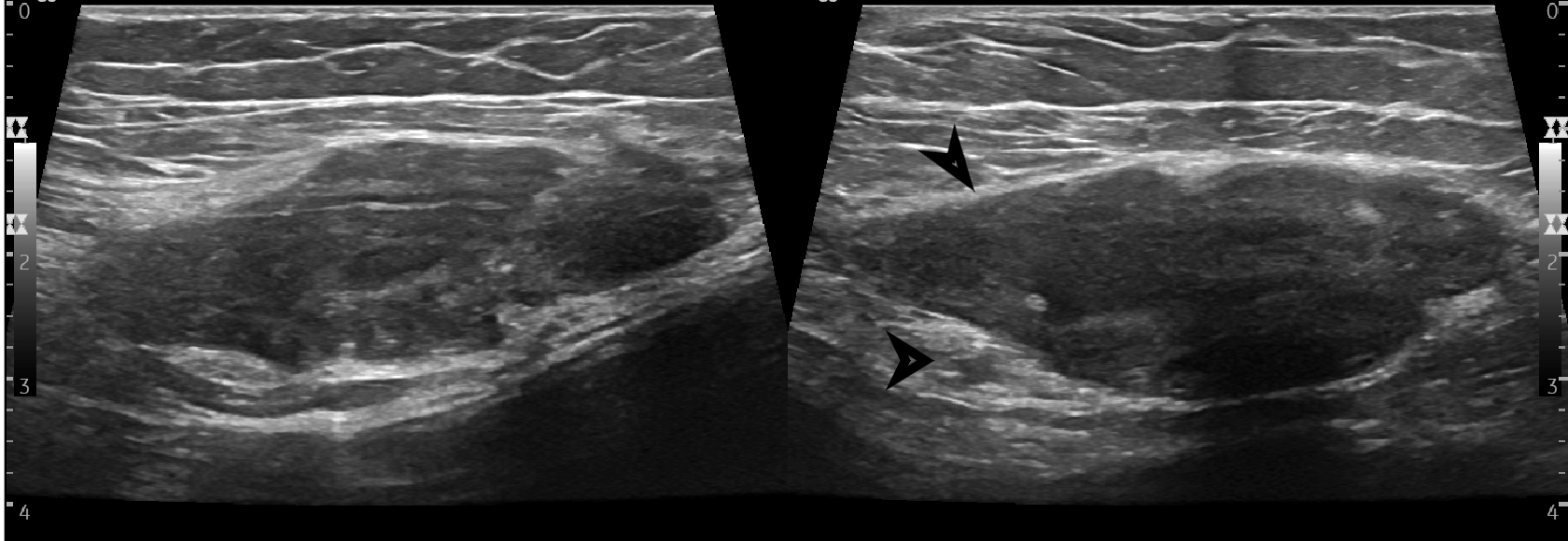
Findings
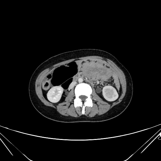
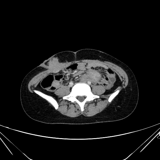
Findings Her entire large bowel was studded with multiple polyps.The rectum and sigmoid had larger polyps as compared to the smaller rest of the bowel which has numerous smaller lesions(Image 1).An ultrasound of her breast was undertaken for the right breasy mass lesion .The ultrasound showed a rather circumscribed lesion in the upper inner quadrant of the right breast splaying fibres of the pectoralis (Black arrowheads in Image 2 ).The lesion was clinically firm to hard and showed no appreciable vascularity on Doppler (Image 3). A USG guided biopsy of the lesion was undertaken which showed spindle cells that were positive for CD99 ,SMA,Desmin and Negative for S100, pan CK, CK 5/6, p63 and CD117,CD 34 . Ki 67 index was less than 3%.(Image 4) . ?eta Catenin showed strong diffuse nuclear positivity(Image 4) . Diagnosis of a spindle cell neoplasm, morphology and immunoprofile favoring Desmoid fibromatosis was given on pathology . Patient eventually underwent prophylactic pancolectomy.She presented a few months post surgery with irregular soft tissue density masses at site of surgical incision on the right rectus (Image 5) and a large intra abdominal mesenteric mass causing distortion and dense bowel adhesions (Image 6). These were diagnosed as fibromatosis on imaging
References
References 1. Matherne T.H., Green A., Jr., Tucker J.A., Dyess D.L. Fibromatosis: the breast cancer imitator. South Med J. 2004;97:1100–1103.  2. Neuman H.B., Brogi E., Ebrahim A. Desmoid tumors (fibromatoses) of the breast: a 25-year experience. Ann Surg Oncol. 2008;15:274–280.  3. Devouassoux-Shisheboran M., Schammel M.D., Man Y.G., Tavassoli F.A. Fibromatosis of the breast: age-correlated morphofunctional features of 33 cases. Arch Pathol Lab Med. 2000;124:276–280.  4. Ballo M.T., Zagars G.K., Pollack A., Pisters P.W., Pollack R.A. Desmoid tumor: prognostic factors and outcome after surgery, radiation therapy, or combined surgery and radiation therapy. J Clin Oncol. 1999;17:158–167.  5. McKinnon J.G., Neifeld J.P., Kay S., Parker G.A., Foster W.C., Lawrence W., Jr. Management of desmoid tumours. Surg Gynecol Obstet. 1989;169:104–106. 

Join us to get regular opportunities to update your knowledge and skills in breast imaging