Contributed By:

Nilofer Shah
Ruby Hall Clinic Hinjewadi, Rajeev Gandhi Infotech Park Midc Phase No 1, Plot No P-33 Hinjewadi Phase-i

Case History:

A 33-year-old lady presented with a painless palpable lump in left breast. USG and biopsy done elsewhere - suggestive of invasive carcinoma.

Quiz Question:

What are the findings? What is the diagnosis?

Answer
Diagnosis: HPE - Suggestive of invasive ductal carcinoma with cribriform ductal carcinoma in situ, ER +, PR +, Her2neu -, Ki-67: 15%.

Discussion
In patients with in-situ or invasive breast carcinoma, it is important to accurately assess the extent of disease. This information is crucial in deciding the type of surgery and in avoiding re-surgeries due to positive margins after lumpectomies. The most common imaging appearance of DCIS is mammographic calcifications. About 10-20% of the time the DCIS can be non- calcified (1). Also, non-calcified DCIS can coexist with calcified DCIS leading because all involved areas of DCIS may not calcify. Because of this there is a chance of underestimation of the extent of disease if we only rely on mammographic calcifications to determine the extent. MRI is considered as the most sensitive imaging modality in detecting DCIS and the most accurate modality in determining the extent of DCIS (2,3). The common presentation of DCIS in MRI is non-mass enhancement with a clumped internal enhancement pattern (4). DCIS detected with MRI has a higher likelihood of progressing to invasive carcinoma than DCIS detected with mammogram because the degree of vascularity increases with histological grade (5). But MRI has several limitations such as availability, cost and time, and the need for expertise for interpretation. As with breast DCE-MRI, contrast enhanced digital mammography (CEDM) uses the principle of neo angiogenesis in detecting breast malignancies. CEDM provides morphological and functional information like MRI with an advantage over MRI in assessing the calcifications. According to recent studies, CEDM has similar sensitivity to CE-MRI in assessing the extent of disease in newly diagnosed breast cancer with higher positive predictive value (6). CEDM can act as a one stop imaging modality in local staging resulting in accurate surgical planning and reduction in re-surgical rates. Teaching points: 1. Underestimation of the extent of DCIS is possible with mammography if we rely only on the mammographic calcifications for planning surgery because in 10-20% of cases DCIS is non-calcified and noncalcified DCIS can coexist with calcified DCIS. 2. This case highlights the role of CEDM in evaluating the extent of calcified as well as non-calcified DCIS with an advantage over MRI in detecting calcifications.
Findings
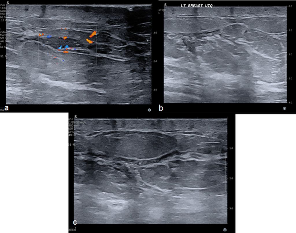
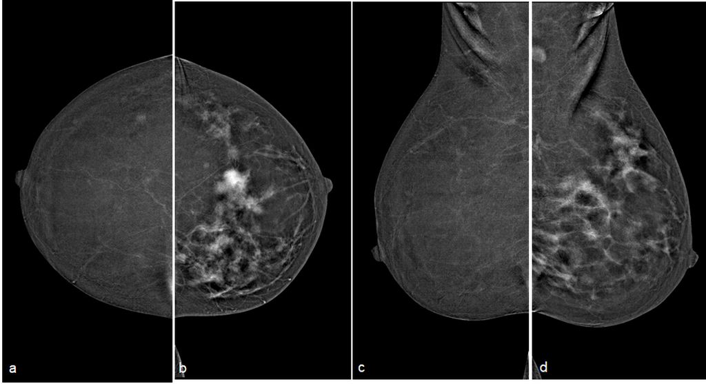
Low energy 2D mammogram images of both breasts in CC and MLO views (figure 1) demonstrate focal asymmetry with architectural distortion in the upper central quadrant of the middle third in the left breast with associated architectural distortion. Fine pleomorphic calcifications in regional distribution are noted in the inner central and upper inner quadrants of the left breast (figure 2). Diffuse skin and trabecular thickening is noted in the left breast. On post contrast recombined images (Figure 3), the area of focal asymmetry shows a heterogeneously enhancing mass with washout on delayed image (MLO). Heterogeneous and clumped non-mass enhancement in diffuse distribution is noted involving the areas of calcifications in the inner quadrant (red circle in figure 4) which could represent calcified ductal carcinoma in situ (DCIS) as well in the outer quadrant (green circle in figure 4) which could represent non-calcified DCIS. To differentiate between non-mass enhancement in diffuse distribution and background parenchymal enhancement, comparison with the opposite breast should be done. In our case there is minimal background parenchymal enhancement in the right breast (figure 3a and 3c) whereas clumped enhancement in diffuse distribution in the left breast (figure 3b and 3d) suggestive of non-mass enhancement in the left breast. Ultrasound correlation revealed an irregular isoechoic mass with indistinct margins with no posterior features measuring 2.2x1.9x1.6cm at 11:30 O'clock position, 6cm fn in left breast. It is hard on elastography (Figure 5). Non-mass ductal abnormalities in the form of irregular prominent and dilated ducts filled with soft tissue and echogenic foci within are noted in upper inner, lower inner and upper outer quadrants of left breast (Figure 6). The whole abnormality extends from the 8-12-3 o'clock position of the left breast. On tomo slices two equal density lesions with indistinct margins are noted in the upper outer quadrant of the right breast. On post contrast recombined images, they show heterogeneous enhancement. Ultrasound correlation revealed two hypoechoic lesions with circumscribed margins in the upper outer quadrant. Multiple enlarged left level I and level II lymph nodes are noted, which show asymmetrical cortical thickening and loss of fatty hilum (figure 7). MRI post contrast subtraction axial images (figure 8a and b) revealed a lesion with irregular shape and margins in the upper central quadrant of left breast with associated non-mass enhancement in diffuse distribution in upper inner, upper outer and lower inner quadrants confirming the mammographic extent of abnormalities (figure 8c).
References
1. Bragg A, Candelaria R, Adrada B, Huang M, Rauch G, Santiago L, Scoggins M, Whitman G. Imaging of Noncalcified Ductal Carcinoma In Situ. J Clin Imaging Sci. 2021 Jun 16;11:34. doi: 10.25259/JCIS_48_2021. PMID: 34221643; PMCID: PMC8247756. 2. Vag T, Baltzer PA, Renz DM, et al. Diagnosis of ductal carcinoma in situ using contrast-enhanced magnetic resonance mammography compared with conventional mammography. Clin Imaging 2008;32 (6):438–442. 3. Berg WA, Gutierrez L, NessAiver MS, et al. Diagnostic accuracy of mammography, clinical examination, US, and MR imaging in preoperative assessment of breast cancer. Radiology 2004;233(3):830–849. 4. Amornsiripanitch N, Lam DL, Rahbar H. Advances in Breast MRI in the Setting of Ductal Carcinoma In Situ. Semin Roentgenol. 2018 Oct;53(4):261-269. doi: 10.1053/j.ro.2018.08.006. Epub 2018 Aug 30. PMID: 30449344; PMCID: PMC6537897. 5. Greenwood HI, Heller SL, Kim S, Sigmund EE, Shaylor SD, Moy L. Ductal carcinoma in situ of the breasts: review of MR imaging features. Radiographics. 2013 Oct;33(6):1569-88. doi: 10.1148/rg.336125055. PMID: 24108552. 6. Lee-Felker SA, Tekchandani L, Thomas M, Gupta E, Andrews-Tang D, Roth A, Sayre J, Rahbar G. Newly Diagnosed Breast Cancer: Comparison of Contrast-enhanced Spectral Mammography and Breast MR Imaging in the Evaluation of Extent of Disease. Radiology. 2017 Nov;285(2):389-400. doi: 10.1148/radiol.2017161592. Epub 2017 Jun 26. PMID: 28654337.

Join us to get regular opportunities to update your knowledge and skills in breast imaging