Contributed By:

Dr.Varsha Rote Kaginalkar

Case History:

A 81 years female reported for CT scan of abdomen for liver cirrhosis with a recent history of bilateral pedal oedema and abdominal distension. She also had complaints of multiple slow growing lumps in both breasts and in cervical, axillary, inguinal regions since 20 years

Quiz Question:

Identify the disorder.

Answer
Systemic Amyloidosis with involvement of bilateral breasts and multiple lymphadenopathy presented as Liver cirrhosis

Discussion
Amyloidosis is a rare disease. It is caused by the extracellular deposition of insoluble polymeric protein fibrils in tissues and organs & eventually leading to organ failure & death. Breast involvement in amyloidosis can be localized or part of systemic disease. However, more commonly, it is a part of systemic spectrum or a hematologic malignancy. There are no specific clinical symptoms or radiological signs affecting the breast. The clinical spectrum of amyloidosis is wide and it can present in puzzling ways. In the present case the patient presented with liver cirrhosis with lymphadenopathy at multiple sites and bilateral breast masses. The breast masses can mimic malignancy because of coarse heterogenous calcifications and axillary lymphadenopathy as was seen in the present case. Correlation with history of slow progression and other systemic findings is important. Coexisting breast malignancy can be found along with amyloid deposits. Due to the rarity of this condition as cause of breast mass and lymphadenopathy, final diagnosis is on biopsy and histopathology. Treatment of primary systemic amyloidosis is chemotherapy and targeted therapy. Targeted therapy blocks the growth and spread of abnormal cells , limiting the damage. Isolated breast amyloidosis which is not associated with hematological disorders or systemic amyloidosis can be treated surgically.
Findings
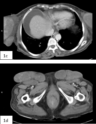
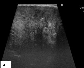
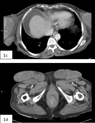
Fig 1a: Ultrasound shows coarse heterogenous liver parenchyma with surface irregularity & nodularity Fig 1b,c,d : CECT Imaging shows Small nodular cirrhotic liver with multi lobulated , well defined masses having mild heterogeneous post-contrast enhancement & few calcific foci in bilateral axilla and inguinal region. Hugely enlarged breasts partly seen in the scan. Ascites present. Fig 2 : 2D mammo (a,b) and Tomo images (c,d) of both breasts show bilateral high density large masses with smooth margins and no architectural distortion however few course heterogenous calcifications present randomly in breast parenchyma. (compromised scan quality is attributed to massive breast size) Fig 3 a,b,c,d : Ultrasound of bilateral breasts show iso to heteroechoic large breast masses occupying almost entire breasts. Normal breast tissue was compressed and difficult to identify. Colour doppler demonstrates significant vascularity within the masses. Fig 4 : Ultrasound of axillary lymph nodes. Fig 5 a,b : Biopsy from breast masses showed amyloid deposits (pink) predominantly around the ducts and blood vessels (a), demonstrated well on congo red stain (b).
References
1. Generalized Primary Amyloid Lymphadenopathy Jin Hyun Park, M.D.2 , Ji Hyun Kwon, M.D.2 , Ji Won Kim, M.D.2 , Hyeon Jin Cho, M.D.2 , Ki H wan Kim, M.D.1,2, Doo Hyun Chung, Ph.D.4 , Inho Kim, Ph.D.1,2,3, Sung-Soo Yoon, Ph.D.1,2,3, Seonyang Park, Ph.D.1,2,3 and Byoung Kook Kim, Ph.D.1, 2. Amyloid tumor of the breast Makiko Mori, Haruru Kotani,asataka Sawaki, Masaya Hattori, Akiyo Yoshimura, Naomi Gondo, Yayoi Adachi, Ayumi Kataoka, Kayoko Sugino, Nanae Horisawa, Mitsuo Terada, Yuri Ozaki, and Hiroji Iwat 3. A rare case of primary systemic amyloidosis of the neck with massive cervical lymph node involvement: a case report and review of the literature. Seccia V, Dallan I, Cervetti G, Lenzi R, Marchetti M, Casani AP, Muscatello L 4. Primary amyloidosis presenting with predominant lymphnodal masses. Kumar D1, Singh AC, Neehar P, Usha, Tandon R, Tripathi K 5. Amyloidosis of the breast. Röcken, C., Kronsbein, H., Sletten, K. et al. Amyloidosis of the breast. Virchows Arch 440, 527–535 (2002). https://doi.org/10.1007/s00428-001-0555-z 6. Localized AL amyloidosis of the breast: A case series. Marjory Charlot 1, David C Seldin, Carl O'hara, Martha Skinner, Vaishali Sanchorawala

Join us to get regular opportunities to update your knowledge and skills in breast imaging