Contributed By:

Dr.PREETY SHARMA AGNIHOTRI
FORTIS LE FEMME G.K.-II

Case History:

A 52-years-old male presented with a progressively increasing lump in left breast since 10 months. There was no family history of breast cancer. There was no history of hormonal use or nipple discharge. On clinical examination a hard, mobile, non tender lump was palpable in retroareolar region. Retraction of the nipple was also noted.

Quiz Question:

What is the BIRADS assessment category?

Answer
The imaging features are highly suggestive of male breast cancer and thus the mass was classified as BIRADS category 5

Discussion
Male breast cancer is extremely rare accounting for <1% of all breast cancer. Risk factors for male breast cancers are genetic predisposition like BRACA 1 or BRCA 2 mutation, Klinefelter syndrome, family history of breast cancer, hyperestrogenism, history of chest irradiation, advanced age and exogenous estrogen use like for feminisation or prostate cancer treatment. Mean age of diagnosis of male breast cancer is around 67 years , 5 to 10 years later than in women due to low clinical suspicion and lack of screening mammogram in men . Thus men usually presents in advanced stage as compared to female with 50% having metastatic axillary nodes at the time of diagnosis indicating poor prognosis. Most common presenting symptom is painless, palpable mass in subareolar region , often eccentric to nipple. Secondary signs may also be present like nipple retraction , nipple discharge , skin thickening or ulceration and palpable axillary nodes. Mammogram and ultrasound are two primary diagnostic imaging modalities for male breast lesions. According to American College of Radiology appriopriateness criteria targeted breast ultrasound should be initial imaging modality for men younger than 25 years presenting with a palpable mass. If the ultrasound findings are suspicious , diagnostic mammogram should be obtained. For the patients ? 25 years of age, workup should begin with mammogram. However if there is a clinical suspicion of malignancy, then a mammogram should be the initial imaging modality regardless of the patient’s age. On mammography, cancers are usually dense, non calcified mass in subareolar region or eccentric to nipple. The mass is usually irregular with indistinct or spiculated margin . However round to oval mass with well circumscribed margin may also be seen. Microcalcifications are rare, seen in only 13 to 30% of cases. On ultrasound male breast cancers are usually irregular, hypoechoic solid mass in subareolar region , usually eccentric to nipple. Masses usually have non circumscribed margin like spiculated, indistinct or microlobulated margin but may have circumscribed margin also. The primary imaging differential diagnosis is unilateral or asymmetric gynecomastia. Male breast cancers are usually eccentrically located and occur away from the subareolar area whereas gynecomastia are retroareolar with lesion abutting posterior margin of nipple on imaging. Gynecomastia in particular nodular gynecomastia is seen as nodular or fan shaped subareolar density on mammography and disk-shaped hypervascular hypoechoic subareolar tissue on Ultrasound fanning back from the nipple and merging with the surrounding fat. Biopsy, preferably ultrasound guided is required for pathological diagnosis. Most common histologic subtype is infiltrating ductal carcinoma not otherwise specified, accounting for 85% of male cancers. Less common are ductal carcinoma in situ , papillary, or mucinous carcinoma. As male breast lacks lobular tissue , invasive lobular carcinoma is extremely rare. Only 0.8% of the male breast cancers are invasive lobular type. Male breast cancer is usually estrogen and progesterone receptor positive with HER2-neu receptor positivity being rare. Treatment of male breast cancer is same as that of women breast carcinoma and depends upon the stage of the disease and hormonal status of the tumor.
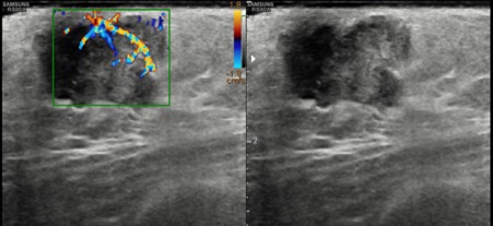
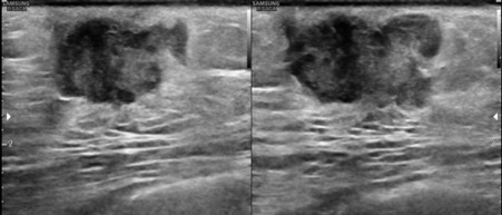
Findings
Bilateral Digital mammography , Craniocaudal (CC) and Mediolateral oblique (MLO) view revealed an irregular , high density mass with indistinct margin in retroareolar region with retracted nipple. No microcalcifications was seen. No significant axillary lymph nodes were present. Ultrasound of left breast showed an irregular, heterogeneously hypoechoic mass with indistinct margin and mild posterior acoustic enhancement, measuring about 2.5x1.9x1.3cm in retroareolar region. Internal vascularity was increased on colour doppler. On strain sonoelastogram, the mass showed increased stiffness suggestive of hard consistency. The imaging features are highly suspicious for male breast cancer and thus the mass was classified as BIRADS category 5 lesion and Ultrasound guided biopsy was advised. Patient underwent left modified radical mastectomy and final histopathological report was Invasive Lobular carcinoma. No nipple or lymphovascular invasion was identified.
References
1. Senger JL, Adams SJ, Kanthan R. Invasive lobular carcinoma of the male breast - a systematic review with an illustrative case study. Breast Cancer (Dove Med Press). 2017 May 17;9:337-345. doi: 10.2147/BCTT.S126341. PMID: 28553141; PMCID: PMC5439541. 2. Allyson L. Chesebro , Anna F. Rives , Kitt Shaffer , Male breast disease: what the radiologist needs to know, Current Problems in Diagnostic Radiology (2018), doi:10.1067/j.cpradiol.2018.07.003 3. Kim SH, Kim YS. Ultrasonographic and Mammographic Findings of Male Breast Disease. J Ultrasound Med. 2019 Jan;38(1):243-252. doi: 10.1002/jum.14665. Epub 2018 Apr 30. PMID: 29708282. 4. Onder, O, Azizova, A., Durhan, G. et al. Imaging findings and classification of the common and uncommon male breast diseases. Insights Imaging 11, 27 (2020). https://doi.org/10.1186/s13244-019-0834-3

Join us to get regular opportunities to update your knowledge and skills in breast imaging