Contributed By:

Dr.Jyoti Arora
Fellowship In Breast Imaging (uk) Associate Director, Medanta Hospital

Case History:

A 49-year old asymptomatic female underwent routine screening mammogram.

Quiz Question:

Diagnosis?

Answer
Breast cysticercosis

Discussion
Discussion:
Cysticercosis, which is caused by Taenia solium larvae, is a common parasitic infection of the soft tissues[1]. Human beings become occasional hosts by eating undercooked vegetables or pork contaminated by eggs of T. solium or regurgitation of eggs into the stomach from intestine of people harbouring a gravid worm. This parasitic infestation is endemic in Asia, Latin America and Central & South Africa[2]. It can affect multiple organs like brain, spinal cord, orbit, muscles, subcutaneous tissue, breast and heart.
Clinical features depend upon the location of the cyst, number of cysts and host response[3] and a history of residence of travel to endemic region may be helpful. Within soft tissue infestations - subcutaneous lesions may present as painless or painful subcutaneous nodules and intramuscular cysts as myalgia, mass, pseudotumour or pseudohypertrophy. In the breast, an uncommon location of affliction[4-7], it can manifest in the form of a lump ( painful or painless) making the clinical diagnosis a myriad of possibilities ranging from cysts ( simple, complex or complicated) , abscess, fibroadenoma or malignancies to name a few. Radiological investigations are necessary for characterization, defining complications such as cyst rupture or associated abscess formation and image-guided biopsies. Mammogram can reveal masses, lymphadenopathy or even calcied worm-like density[8]. The characteristic finding on an USG is of a complex cyst with a echogenic focus along the wall which represents the scolex. In chronic cases , these lesions tend to calcify. Magnetic resonance Imaging has a role, when the parasite is viable, where peripheral enhancement of the cyst wall can be demonstrated. Definitive diagnosis is made by tissue sampling which reveals presence of a scolex and surrounding host response in the form of inflammatory cell infiltration with histiocytes and epitheloid cell granulomas [9].
Treatment of uncomplicated breast cysticercosis entails a course of antihelminthic medication and follow-up imaging to look for resolution. If complicated with abscess formation, drainage procedures might be necessary.
Final Diagnosis:
Breast Cysticercosis
Differential Diagnosis:
Simple cyst
Complicated or complex cyst
Galactocele
Hematoma
Fat necrosis or oil cyst
Mastitis or breast abscess
Intracystic papilloma
Necrotizing neoplasm
Findings
Imaging Findings:
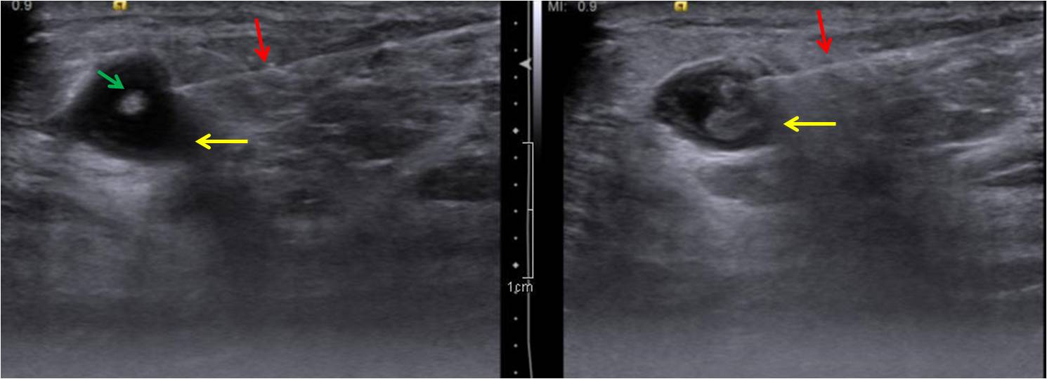
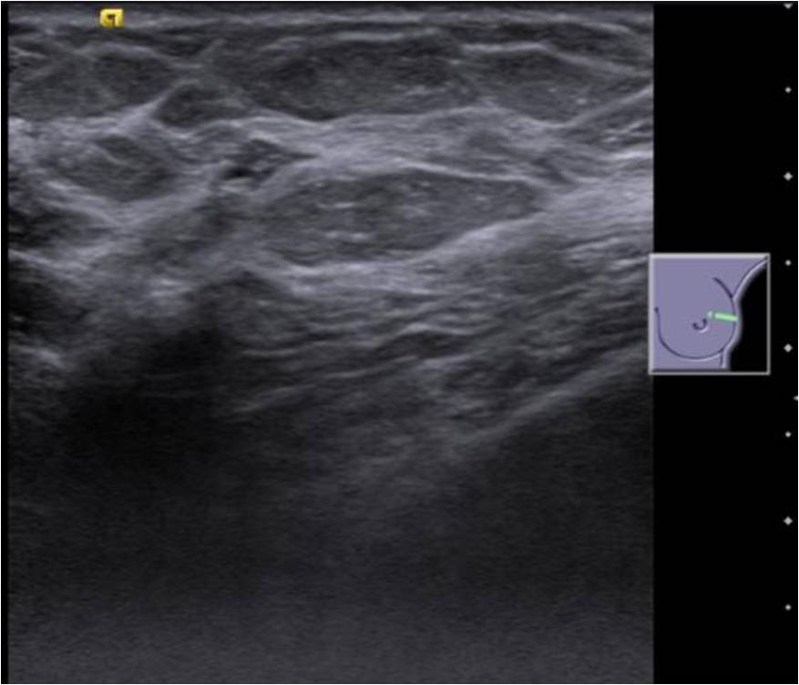
An asymptomatic 49-year old lady underwent a screening mammogram [Figure 1.]. In a background of heterogeneously dense breast parenchyma there was a 10mm round mass in the upper-outer quadrant of the left breast (anterior-third) with obscured posterior margins. No calcifications, spiculated mass or significant axillary lymph nodes were noted. She was recalled for further clinical assessment which revealed a palpable lump and an ultrasound (US) was advised. Sonomammogram [Figure 2.], in the area of mammographic abnormality, revealed a 12 x 10mm thick walled cyst with a 2mm polypoidal echogenic mural nodule arising from it’s non dependant wall. No other focal abnormality was seen in the rest of the left breast. Mildly enlarged nodes with slightly thickened cortex were noted in the left axilla. Ultrasound-guided biopsy of the complex cyst was performed [Figure 3.] with no complications. Histopathology [Figure 4] revealed larva of the cysticercal parasite (racemose cyst wall) with a surrounding giant cell reaction. Clinical follow-up after a two-month course of albendazole showed no palpable abnormality and USG [Figure 5.] in the region of abnormality showed resolution of the cyst.
References

References:

[1] Prasad K N, Prasad A, Verma A and Singh A K 2008 Human cysticercosis and Indian scenario: a review; J. Biosci. 33 571–582.

[2] Powell S Y, Proctor A J andWilmor B 1986 Cysticercosis and epilepsy in Africa: a clinical and neurological study; Ann. Trop. Med. Parasitol. 60 142–158.

[3] World Health Organization. Taeniasis/cysticercosis. Fact sheet No. 376. http://www.who.int/mediacentre/factsheets/fs376/en/

[4] Kunkel JM, Hawksley CA. Cysticercosis presenting as a solitary dominant breast mass. Hum Pathol; 1987;18:1190-91.

[5] Amatya BM, Kimula Y. Cysticercosis in Nepal; A histopathologic study on sixty two cases. Am J Surg Pathol 1999;23:1276-79.

[6] Sah SP, Jha PC, Gupta AK et al. An incidental case of breast cysticercosis which was associated with a fibroadenoma . IJPM 2001; 44(1):59-61.

[7] Geetha TV, Krishnanand BR, Pai CG. Cysticercosis of the breast: A rare presentation. J. Nep Med Assoc 2000;39:184-85.

[8] Adrienne Pratti Lucarelli A. P.,Martins M. M. et al. Short Report: Cysticercosis of the Breast, a Rare Imaging Finding. Am. J. Trop. Med. Hyg., 79(6), 2008, pp. 864-865.

[9] Scott-Conner CE, 2002. Infections of the breast. Probl Gen Surg. 19: 1-6.

Join us to get regular opportunities to update your knowledge and skills in breast imaging