Contributed By:

Dr.Nupur, Dr Jeevanjot, Dr.Jyoti Patel, Dr. Matharoo, Dr. Arora Medanta,
The medicity, Gurgaon.

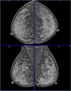
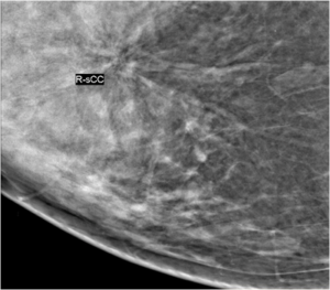
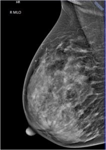
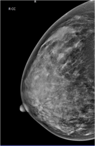
Case History:

43 year female patient has come for routine screening mammogram.

Join us to get regular opportunities to update your knowledge and skills in breast imaging