Contributed By:

Dr. Varshaa Hardas
Star Imaging And Research Centre

Case History:

39yr old lady with history of lump in the left breast UIQ, No previous imaging done. No positive family history for CA Breast/Ovary. Pre-Menopausal Status.

Quiz Question

  1. What are the findings?
  2. What is your likely diagnosis based on Mammography and USG Findings.
Answer
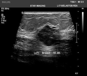
Findings

Mammography- Fairly well circumscribed predominantly sold lesion in the left breast UIQ with partially obscured margins. No spiculations. No associated microcalcifications noted. Sonography: Well defined hypoechoiec lesion with smooth margins.


Answer

Low-grade Mucinous Carcinoma ER?PR- +ve HER-2 NEU -VE

Join us to get regular opportunities to update your knowledge and skills in breast imaging