Contributed By:

Dr Parul Garg
Jaypee hospital , Noida

Case History:

43 years old female Came for routine health check up

Quiz Question

  1. Findings on Mammography and MRI Breast ?
  2. Diagnosis ?
  3. What role did MRI play in management?
Answer
Findings

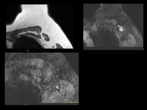
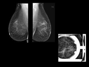
1. Irregular mass with spiculations and microcalcifications in supra-areolar region of left breast – BIRADS 5. 2. On MRI – Irregular enhancing mass with surrounding extensive clumped and nodular enhancement in ductal distribution in upper quadrant- representing multifocal DCIS or extensive ductal spread. 3. Thickening in left axillary lymph nodes- likely metastaticCortical


Answer

1. Invasive ductal carcinoma with multifocal DCIS / extensive intraductal spread. 2. MRI changes the management from Breast conserving surgery to MRM because of extensive intraductal component other then mass.


Discussion

MRI of the breast is recommended in patients who are diagnosed with breast cancer before surgery for treatment planning as it is more accurate for the the suze of the lesion, tells about multifocal disease, contralateral breast cancer and lymph node staging. The management can change from lumpectomy to mastectomy. However use of pre-operative MRI in all cases is still debatable.

Join us to get regular opportunities to update your knowledge and skills in breast imaging