Contributed By:

Dr. Jwala Srikala
Senior Consultant Radiologist KIMS Secunderabad

Dr. Ashwini Krishnan EG.
Final year DNB Resident, KIMS Secunderabad

Case History:

  • 31 years old female, mother of two children, came with complaints of lump in left breast for past 1 week.
  • Last child birth was 5 yrs back.
  • No H/O fever.
  • No history of breast cancer in family.
  • She was evaluated with a mammogram and ultrasound of both breasts

Quiz Question:

What is your diagnosis?

a) Invasive Ductal carcinoma.

b) Invasive Lobular

c) Granulomatous mastitis.

d) Inflammatory breast carcinoma

Answer
Discussion

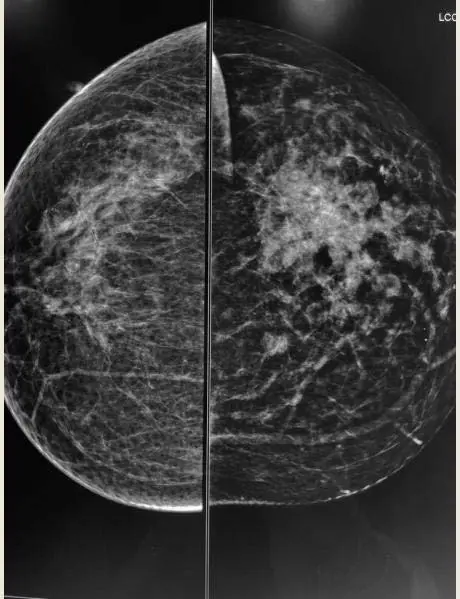
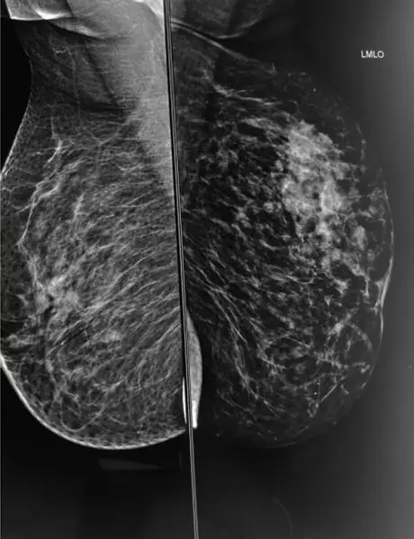
A & B) Left breast MLO and CC views showing irregular medium to high density mass in upper and outer quadrant of left breast ( straight white arrows) with associated interstitial thickening ( curved white arrow), ductal dilatation, skin thickening and retraction of the nipple (red arrow).

Left breast USG showing mass forming area consisting of multiple thickened dilated ducts extending into the subcutaneous region (straight white arrow). There is parenchymal edema surrounding this area of abnormality.

Multiple enlarged lymph nodes with thickened cortices and loss of fatty hilum in left axilla .

What will you do next?

With a differential diagnosis of granulomatous mastitis and Invasive ductal carcinoma ,USG guided core Biopsy was done from the lesion

  • Final Histopathology Chronic granulomatous mastitis.
  • Gene X pert was positive for tuberculosis.
  • Patient was started with ATT.
  • Follow up USG after 3 months showed significant resolution in the size and extent of the mass.

Another similar case, 40 yr old female patient , mother of two children, came with c/o lump in left breast for 1 week

Left breast CC and MLO views

A) & B) Left breast CC and MLO view showing large asymmetric density in upper and central quadrant of left breast (black arrows) with associated interstitial thickening (white arrow) and architectural distortion .Multiple mass like areas seen in the medial and lower quadrant (red arrows) of left breast

A) & B) Large area of abnormality in upper half of left breast with dominant central mass (straight white arrow). Multiple dilated and thickened ducts (straight red arrow)are seen extending from the mass.

C) Multiple lymph nodes (curved white arrow) with thickened cortices in left axilla

  • Core biopsy done with histopathology of Invasive ductal carcinoma.
  • Clinically, radiologically, and cytologically , granulomatous mastitis is often confused with malignancy, requiring histopathological examination for a definitive diagnosis.
  • Granulomatous mastitis can be Idiopathic or can be due to infectious conditions like fungal, actinomycosis , histoplasmosis , brucellosis, and tuberculosis , or can be seen along with other conditions, such as Wegener’s granulomatosis and sarcoidosis
  • In India, tuberculosis should be considered first in females presenting with chronic mastitis, not responding to antibiotic.
  • Breast tuberculosis accounts for less than 0.1% of all breast pathologies.
  • It is frequently seen in multipara and lactating women between the ages of 20 and 40.
  • It can be primary or secondary.
  • Secondary infection can be from axillary lymph nodes or adjacent bones and soft tissues.
Presentation of Primary Breast Tuberculosis

Collection with sinus tract extending into the cutaneous plane is the most common presentation of primary breast tuberculosis

  • Granulomatous mastitis of tuberculous etiology has three essential radiological appearances: nodular, diffuse, and sclerosing
  • m/c mammographic finding Diffuse trabecular thickening and skin retraction.
  • Can also present as an ill defined breast mass.
  • Nodular - can resemble a fibroadenoma
  • Diffuse form - dense breast tissue with diffuse increase in skin thickness like inflammatory breast carcinoma
  • Sclerosing form -
    • Seen in elderly.
    • Due to extensive fibrosis, seen as dense breast mass with nipple retraction.
    • Asymmetry between the breasts
  • In USG, breast tuberculosis can be seen as
  • Nodular - Indistinct heterogenous hypoechoic mass
  • If the patient’s immunity is high it can present as well circumscribed, hypoechoic , posteriorly enhanced solid lesion , mimicking fibroadenoma
  • Diffuse - form Ill defined hypoechoic masses.
  • Sclerosing form - An increase in the echogenicity of breast parenchyma without mass formation.
  • Skin thickening and duct ectasia are the other findings that are seen.
  • Ipsilateral axillary adenopathy is present in 20 69% of cases.
  • The presence of a fatty, echogenic hilum and an oval shape are useful features in distinguishing tuberculosis lymphadenitis from malignancy
  • Conglomerate lymph node masses or fistulas may also be seen.

References
  1. Kessler E, Wolloch Y. Granulomatous mastitis: a lesion clinically simulating carcinoma. Am J Clin Pathol 1972;58(6):642 6.
  2. Al Khawari HA, Al Manfouhi HA, Madda JP, Kovacs A, Sheikh M, Roberts O. Radiologic features of granulomatous mastitis. Breast J. 2011;17(6):645 50. doi 10.1111/j.1524 4741.2011.01154.x.
  3. Gautier N, Lalonde L, Tran Thanh D, El Khoury M, David J, Labelle M, et al. Chronic granulomatous mastitis: Imaging, pathology and management. Eur J Radiol 2013;82(4):165 75. doi 10.1016/j.ejrad.2012.11.010.
  4. Heer R, Shrimankar J, Griffith CDM. Granulomatous mastitis can mimic breast cancer on clinical, radiological or cytological examination: a cautionary tale. The breast. 2003;12(4):283 6.
  5. Ozturk M, Mavili E, Kahriman G, Akcan AC, Ozturk F. Granulomatous mastitis: radiological findings. Acta Radiol 2007;48(2):150 5. doi 10.1080/02841850601128975.
  6. Baykan , A.H., Sayiner , H.S., Inan , et al. Primary breast tuberculosis: imaging findings of a rare disease. Insights Imaging 12, 19 (2021). https://doi.org/10.1186/s13244 021 00961 3

Join us to get regular opportunities to update your knowledge and skills in breast imaging