Contributed By:

Dr. Janaki P Dharmarajan
Amrita Institute of Medical Sciences

Case History:

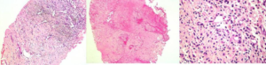
52 year old lady with right breast mass of recent onset.

Quiz Question

What is the mass?

How is the mamagement?

Clue: She is IDDM since 15 years

Join us to get regular opportunities to update your knowledge and skills in breast imaging