Contributed By:

Dr. Janaki P Dharmarajan
Amrita Institute of Medical Sciences

Case History:

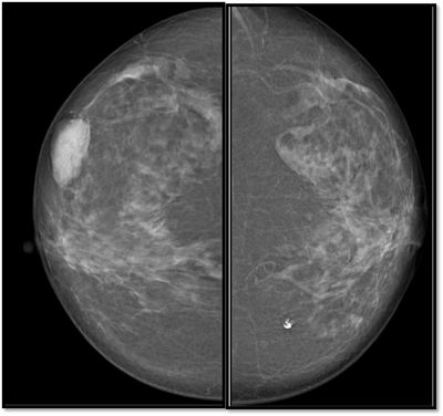
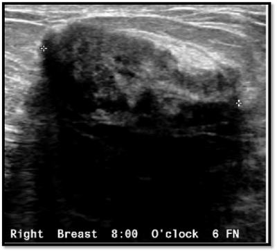
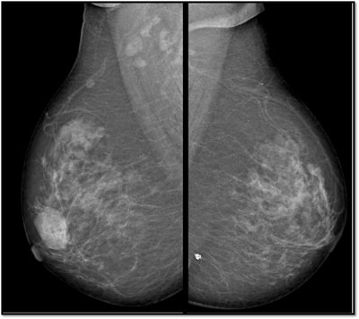
38 year old lady with right breast lump of one year duration.

Quiz Question

What is the diagnosis based on mammography and tomosynthesis?

What is the next step in the investigation?

Join us to get regular opportunities to update your knowledge and skills in breast imaging