Contributed By:

Dr. Jwala Srikala
Krishna Institute of Medical Sciences.Hyderabad

Case History:

52 year old lady who underwent wide local excision for stage I breast carcinoma of right breast 7 years ago has presented for routine screening mammogram.

Answer
Ductal Cell carcinoma In Situ-DCIS RIGHT BREAST.(Comedo and cribriform type)

Discussion

Approximately 10% to 20% of patients with stage I/II invasive breast cancer will develop an IBTR (ipsilateral breast tumor recurrence) within 10 years of breast-conserving surgery and radiation. Comedo calcifications are associated with high grade disease.About 94% show visible microcalcification and there is good correlation with disease extent.Calcium forms in the central necrotic material within the ducts.Particles typically are pleomorphic, linear, branching or crushed stone.They are usually in segmental distribution and show nipple convergence. Cribriform DCIS is more regular pattern with arching bands or micropapillary projections.Approximately 53% calcify and there is poor correlation with disease extent.Calcium forms in sieve-like spaces (little necrosis).Particles are small, granular, variable and irregular cluster shaped.It is more commonly intermediate or low grade disease.


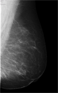
Findings

Craniocaudal and mediolateral oblique views of both the breast.Post operative scar is seen in the upper and outer quadrant of right breast.Pleomorphic calcifications,predominantly showing fine linear branching pattern( comedo pattern) is seen in segmental distribution with nipple convergence in the central right breast.


References

Local Recurrence After Mastectomy or Breast-Conserving Surgery and Radiation Review Article | November 01, 2000 | Oncology Journal, Breast Cancer By Gary M. Freedman, MD and Barbara L. Fowble, MD The Postconservation Breast: Part 1, Expected Imaging Findings Thanissara Chansakul1, Kenny C. Lai1 and Priscilla J. Slanetz1 American Journal of Roentgenology. 2012;198: 321-330. 10.2214/AJR.10.7298 The Postconservation Breast:Part 2, Imaging Findings of Tumor Recurrence and Other Long-Term Sequelae American Journal of Roentgenology. 2012;198: 331-343. 10.2214/AJR.11.6881

Join us to get regular opportunities to update your knowledge and skills in breast imaging