Contributed By:

Dr. Janaki P Dharmarajan
Amrita Institute of Medical Sciences

Clinical History:

60 yr old lady for comprehensive health check-up. Clinically breasts are normal. There is h/o intracranial aneurysmal rupture in past. She describes long-standing left postauricular swelling.

Quiz Question

What are the findings and what could be the differentials?

Answer
Findings:

MG showed two high density masses in upper outer quadrant. The smaller one is oval with circumscribed. The larger one has indistinct margins. There are no suspicious calcifications.
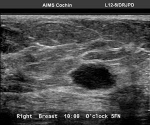
Ultrasound showed two hypoechoic solid masses in upper outer quadrant. The larger one has moderate vascularity and angular margins. Normal axillary lymph nodes.
Ultrasound guided 14 G core biopsy from larger mass showed solid papillary carcinoma with a suggestion to exclude neuroendocrine tumour origin.
Ultrasound guided wire localisation along with lumpectomy and SLNB was performed. Final HPE showed the larger mass to be Primary Breast Non- Hodgkin’s lymphoma, diffuse large B cell type. Another nodule seen is a hyalinised fibroadenoma. Axillary lymph nodes were not involved.


Discussion:

Breast lymphoma (BL) may occur as either a primary breast tumour or as an extranodal manifestation of secondary disease. By definition, primary breast lymphoma first manifests in the breast without evidence of lymphoma elsewhere, except ipsilateral axillary and supraclavicular lymph nodes.
Primary breast lymphoma accounts for 0.85–2.2 % of all extranodal lymphomas and 0.1–0.5 % of breast neoplasms. Secondary lymphoma is slightly more common than primary lymphoma. The World Health Organisation classification for breast tumours subdivides lymphomas of the breast into diffuse large cell lymphoma, Burkitt lymphoma, extranodal marginal-zone B-cell lymphoma of MALT type and follicular lymphoma. Primary breast lymphomas are usually non-Hodgkin type with B-cell lineage Median age of presentation is 55 – 65 years, Burkitt lymphoma is seen in younger patients.
Commonly presents as a painless palpable lump. Ipsilateral axillary is seen lymphadenopathy in up to 50% cases. Nipple retraction, discharge and skin changes are rare. Bilateral synchronous disease is seen in 10%, contralateral metachronous disease in up to 15%.
MG: Detected often during screening, most commonly as solitary non calcified masses, bilateral in 28%, rarely present with spiculated margins and architectural distortion, ipsilateral lymph nodal involvement in about 40%
US: Variable presentation, hypoechoic, irregular mass with indistinct margins, may have no internal vascularity on colour Doppler evaluation in up to 55 % of cases. Posterior acoustic shadowing is not a feature and this may be due to lack of desmoplastic reaction.

PET/CT: Useful in the staging of lymphoma with a sensitivity and specificity close to 100 %. Also useful in assessment of treatment response demonstrating residual metabolically active tumour and areas of necrosis and fibrosis. Primary breast cancers including inflammatory breast cancer and metastases, especially from melanoma, may be difficult to differentiate from haematopoietic neoplasms. There may be a false negative scan if the lesion is less than 1 cm.


Treatment:

Several studies found that mastectomy offered no benefit in the treatment of primary breast lymphoma B cell lymphoma – is usually treated with chemotherapy +/- radiation.

Prognosis:

  • 5 year survival for diffuse B cell lymphoma is 60 – 65%.
  • Prognostic factors: stage, bilaterality, bulk of disease > 5cm.
  • Outcome worse for secondary lymphoma.

Haematological malignancies of the breast are rare. In the appropriate clinical context, these imaging findings should help alert the radiologist to the correct diagnosis and ultimately prevent unnecessary surgical treatment.


References:
  1. K. N. Glazebrook et al, Breast imaging findings in haematological malignancies, Insights Imaging (2014) 5:715–722
  2. Mouna et al. Primary malignant non-Hodgkin’s lymphoma of the breast: a study of seven cases and literature review, World Journal of Surgical Oncology 2012, 10:151

Join us to get regular opportunities to update your knowledge and skills in breast imaging