Contributed By:

Dr.Rathna priya,Dr. Sathyasree.V.V, Dr.Bagyam Raghavan
Apollo Speciality Hospitals, Chennai.

Case History:

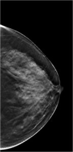
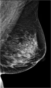
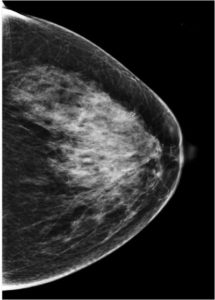
59 Yr old female, referred from outside for suspicious microcalcifications in left breast.

Winners – April 2016

  1. Pragya Garg, ESI Hospital Basai Darapur
  2. Sridhar Iyengar, GVN hospital

Join us to get regular opportunities to update your knowledge and skills in breast imaging